Let’s See PowerPoint : Anterior Cervical Surgery : Fusion versus Prosthesis
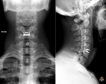
Let’s see : Cervical Disc Arthroplasty on 2 levels
The discectomy goes along with a cervical arthrodesis with anterior approach, has proven its profit. The arthodesis of a defined cervical level leads to an overuse of the adjacent levels (intervertebral discs) and a precocious degeneration of those discs.
An arthrodesis of several cervical levels could limit the function of the cervical spine (flexion, extension, lateral flexion and rotations).
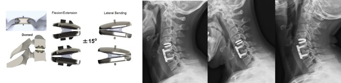
The cervical disc prosthesis maintains or restores the mobility of the adjacent cervical levels and therefore limits or avoids these problems.
The limited cervical disc herniation which did not improve with the conservative treatment and with a limited cervical arthritis, is the ideal indication for the cervical prosthesis.
A prosthesis could be inserted in a more severe uncodiscarthritis if during the procedure a circumferential resection of the arthritic tissue is possible.
The placement of prosthesis does not require any additional contention; the functional recuperation is quick and this procedure seems to been interesting on the positive socio-professional level.
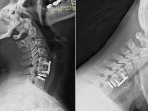
Hybrid stabilization with fusion and cervical disc replacements





